Direct Cosmetic Bonding

Overview
Direct dental bonding is Dr. Kaltchev’s passion. This technique allows for creative restoration while preserving the tooth structure. Direct bonding is suitable for all ages and is used to restore chipped and misshaped teeth; close spaces; repair teeth with caries and cervical erosion; immobilize teeth; and change the entire bite. It is usually a one-appointment procedure during which composite material is bonded directly to the tooth.
Our Approach
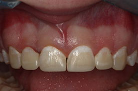
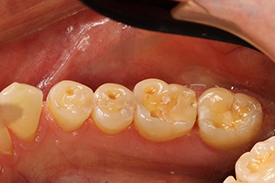
Restorations of fractured or chipped teeth
01
Before

02
After

Bonding for adolescents
An increasing number of young patients (ages 8-21) present with different stages of tooth wear. This is the best and most cost-effective way to restore worn teeth in adolescents. Restoring the original size of the teeth improves aesthetics and speech, protects teeth from further wear and destruction, and increases self-esteem. This technique allows for any repairs or modifications later in life, with each additional repair looking like the initial restoration.
01
Before

02
After

Bonding for worn teeth
Bonding is a very suitable solution for worn teeth regardless of severity. It is a very cost-effective and conservative approach. It preserves the integrity of the tooth and restores its function and aesthetics.
01
Before

02
After

Restoration after periodontal disease
Aesthetically unpleasing exposed root areas and teeth spacing can happen after periodontal treatment. In these cases, we are able to achieve impressive results by just adding to the existing tooth structure. This is a very conservative and highly esthetic restorative solution.
01
Before

02
After

Misshaped teeth – Microdontia
Direct cosmetic bonding is the only restorative option at the present moment that allows for treating misshapen teeth in children. Bonding can be reshaped and adjusted during growth.
01
Before

02
After

Testimonials
Request an Appointment
As our patient, you can expect to be treated with respect. Our team will listen and empathize with your specific needs to properly evaluate and engage with you, so you feel as comfortable as possible throughout the appointment.