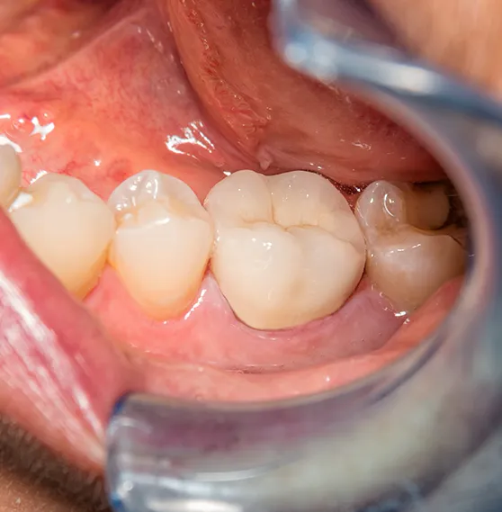
Zirconia Crowns
When you need a crown, you shouldn’t have to choose between strength and beauty. Zirconia crowns offer the best of both worlds – combining the durability of traditional metals with the natural aesthetics of porcelain. This revolutionary material represents the latest advancement in dental crown technology, providing a restoration that’s built to last while looking completely natural.
At BK Dental, we’re committed to offering our patients the highest quality restorative options available. Dr. Boris carefully selects and customizes each zirconia crown to match your natural teeth perfectly, ensuring that your smile not only feels great but looks amazing too.

Overview
Zirconia is a porcelain-like material, consisting of at least 90% zirconium dioxide, making it exceptionally durable. Zirconia crowns are translucent, with a lifelike look. They can either be layered with porcelain for an unparalleled esthetics, or fully made of zirconia for additional strength.

Our Approach
Our team will fit the zirconia crowns for a most natural look and functionality.
Testimonials
Request an Appointment
I understand that getting a crown is an important decision for your dental health and appearance. Over my years of practice, I’ve seen how zirconia crowns can transform both the function and beauty of a smile. Let’s discuss whether a zirconia crown is right for your specific situation. I’ll take the time to explain all your options and answer any questions you have about the process.