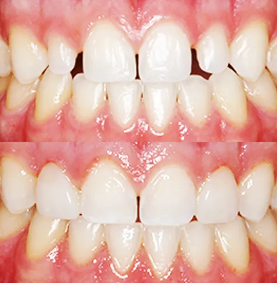
Direct Resin Bonding
Transform your smile in a single visit with the artistry of direct resin bonding. This versatile cosmetic treatment is like having an artist sculpt the perfect restoration directly onto your tooth, blending science with artistry to create beautiful, natural-looking results.
At BK Dental, Dr. Kaltchev brings together technical expertise and an artistic eye to repair chips, close gaps, and reshape teeth with remarkable precision. Using advanced composite materials that match your natural tooth color, we can enhance your smile while preserving your healthy tooth structure – often in just one appointment.

Overview
Direct dental bonding is our passion. This technique allows for creative restoration while preserving the tooth structure. Direct bonding is suitable for all ages and is used to restore chipped and misshaped teeth; close spaces; repair teeth with caries and cervical erosion; immobilize teeth. It is usually a one-appointment procedure where composite material is bonded directly to the tooth.

Our Approach
We take pride in the esthetic outcome of our direct bonding restorations. Outstanding results are achieved by incorporating our artistic skills, creativity, experience and patience for detail.
Testimonials
Request an Appointment
Whether you’re concerned about a chipped tooth, gaps in your smile, or other cosmetic issues, I understand how these small imperfections can affect your confidence. Direct bonding is one of my favorite procedures because I can help transform your smile in just one visit, while preserving your natural tooth structure.